【学科强院】重庆医科大学附属巴南医院卒中中心先进技术展播——“零”交换技术
今年初,72岁的王爷爷因突发意识障碍被送至重庆医科大学附属巴南医院(重庆市巴南区人民医院),检查发现是基底动脉闭塞性脑梗死——这是一种危及生命的脑血管疾病。巴医卒中中心团队迅速行动,启动基底动脉急诊取栓手术,将他从危险边缘拉了回来。术后,老人生活能够自理,好转出院。
今年12月,王爷爷又因反复头晕回来复查。血管造影提示,基底动脉中段出现了重度狭窄(如图1),血管斑块处于不稳定状态(如图2),就像一颗“定时炸弹”,随时可能再次引发卒中,具备强烈的手术指征。

图1:头颈部CTA:基底动脉重度狭窄。

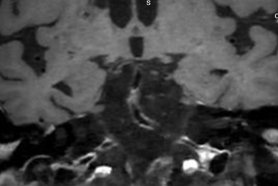
图2:基底动脉次全闭塞,管壁增强可见斑块不稳定状态。
面对如此复杂且高风险的情况,医院卒中中心团队在王杰主任、翟红副主任两位专家的带领下为老人实施了一项更精细的手术——“零”交换技术下的球囊扩张与支架植入术(即输送性球囊微导管扩张狭窄处+支架植入术)。
这项技术将球囊预扩张、支架释放等关键步骤融合为一步完成。手术流程大大简化,交换步骤减少,手术时间缩短,同时也降低了术中风险。术后造影显示,原本狭窄率高达95%的血管恢复良好,王爷爷的头晕症状随之消失,步行自如,顺利康复。
据神经内科王杰主任介绍,颅内动脉粥样硬化性狭窄是引起缺血性脑卒中的重要原因之一。重庆医科大学附属巴南医院(重庆市巴南区人民医院)卒中中心在巴南区率先应用“零”交换技术完成颅内动脉狭窄介入手术,将球囊预扩张、支架释放等关键步骤融合为一步,大幅简化流程、缩短时间、降低风险。目前,该技术已成功应用于5例颅内动脉粥样硬化狭窄介入手术,均未出现手术并发症,体现了技术革新对手术安全、效率及患者康复的有力推动。
依托国家高级卒中中心建设标准,巴医卒中中心持续整合多学科资源,常规开展静脉溶栓、动脉取栓及颅内支架植入等先进技术,为卒中患者提供从急诊救治到康复随访的全流程、规范化诊疗。技术的每一步进步,都是为了更安心、更优质的治疗体验。守护脑健康,每一秒都至关重要。

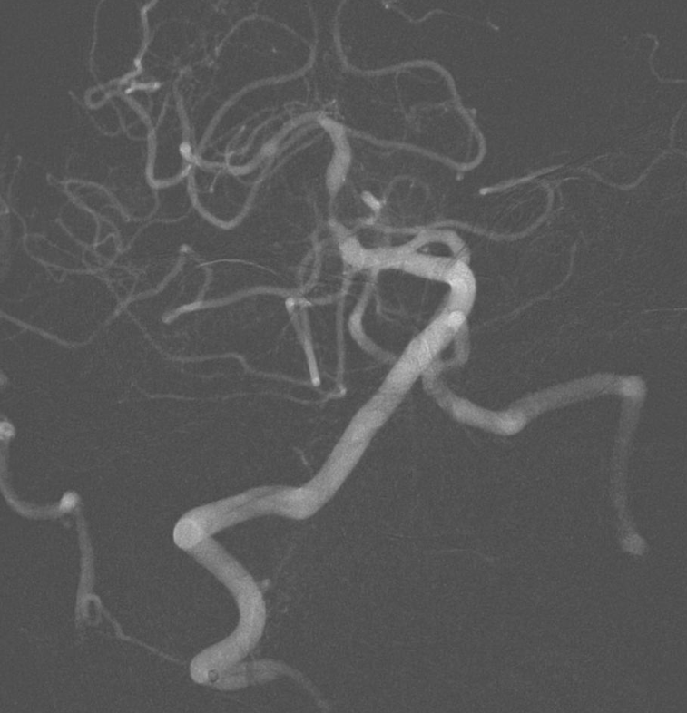
图3:术前造影显示:基底动脉中段重度狭窄,狭窄率95%。

图4:输送性球囊微导管扩张基底动脉中段狭窄处。

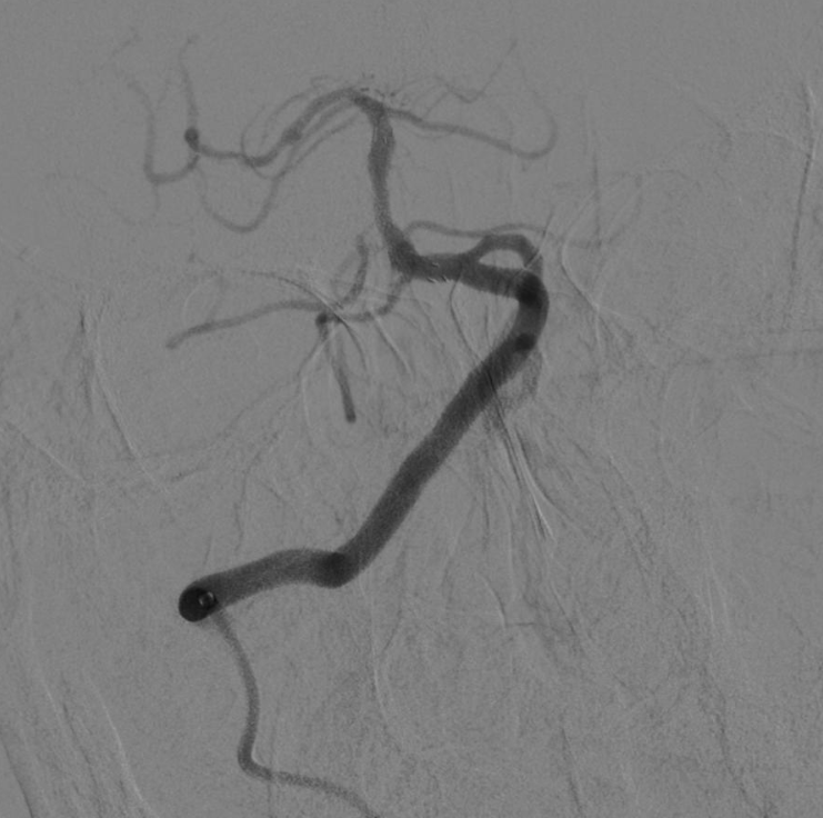
图5:球囊扩张后行颅内自膨支架植入术,术后血管形态明显改善,残余狭窄20%。
供稿丨神经内科
编辑丨宣传科
美编丨宣传科
初审丨王杰
复审丨熊浩锋 朱艳
终审丨朱渝


